img
Services

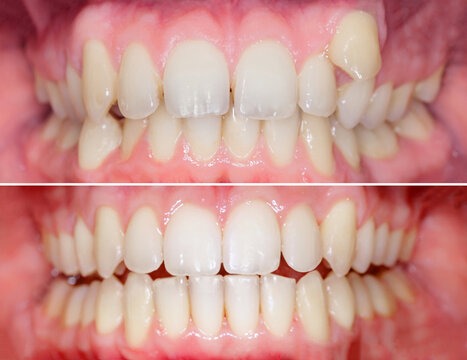
crazy crooked teeth

Crazy crooked teeth" is a descriptive term used to characterize teeth that are severely misaligned or irregularly positioned. This condition, known as malocclusion, can affect both the appearance and functionality of the teeth and jaws. Here's a detailed description: Appearance: Teeth that are "crazy crooked" may be visibly misaligned, overlapping, or rotated. They may appear crowded or spaced irregularly, giving the smile a disorganized or chaotic look. Functionality: Malocclusion can impact the functionality of the teeth and jaws. Misaligned teeth may not come together properly when biting or chewing, leading to difficulty eating certain foods. In severe cases, malocclusion can also affect speech.

Your Title